İngiltere’de hükümet, önümüzdeki 10 yıl içinde doğacak tüm bebeklere hastalık risklerini erken tespit edebilmek amacıyla...
İngiltere Parlamentosu'nun alt kanadı olan Avam Kamarası, ölümcül hastalığı olan bireylere kendi yaşamlarını sonlandırma hakkı...
Genel Tıp Konseyi (GMC) tarafından yapılan araştırma, İngiltere'nin sağlık sisteminde alarm veren bir tabloyu ortaya...
İngiltere ve Galler’de kadınların kürtaj nedeniyle cezai soruşturmalara maruz kalmasının önüne geçmek amacıyla önemli bir...
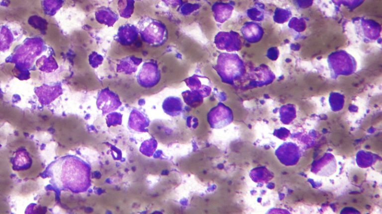
İngiltere, multipl miyelom hastalarına dünyada ilk kez "Truva atı" olarak adlandırılan öncü bir kanser ilacı...
İngiltere'de plastik cerrah Jonathan Peter Brooks (61), meslektaşı Graeme Perks’ü öldürmeye teşebbüs ettiği gerekçesiyle ömür...