İngiltere’den akciğer kanseriyle mücadelede devrim niteliğinde ilaç

İngiltere’den akciğer kanseriyle mücadelede devrim niteliğinde ilaç
Show Article Summary

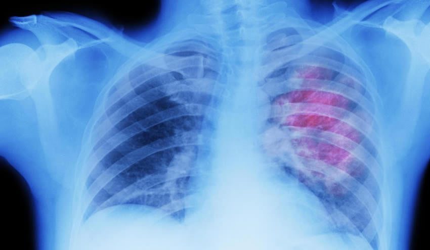
İngiltere Ulusal Sağlık Servisi’nin (NHS) yaptığı açıklamada, son teknoloji bir ürün olan ‘Sotorasib’ adlı ilacın, kanser tedavisi çalışmalarından önemli bir gelişme sağlayacağı belirtildi. ‘Ölüm Yıldızı’ adlı verilen mutasyonla akciğer kanserindeki tümör büyümesini durduran ‘devrim’ niteliğindeki bir ilaç, ilk kez Avrupa’daki hastalara verilecek.

Tablet olarak alınan ilaç, kanser tümörlerinin büyümesini durduruyor. Klinik çalışmalara göre, söz konusu ilacın akciğer kanserinin büyümesini 7 ay boyunca durdurduğu kanıtlandı.

ERKEN ERİŞİM SAĞLANACAK

NHS ilaç için erken erişim anlaşması yapıldığını duyururken, ilacın birkaç hafta içinde İngiltere’de yaklaşık 600 akciğer kanseri teşhisi konulmuş hastaya verileceği aktarıldı.

NHS, Sotorasib’in türünün ilk tedavisi olduğunu ve pankreas ile kolon kanserleri de dahil olmak üzere, en ölümcül kanserlerin tedavisinde de büyük bir ilerlemeyi temsil edebileceğini vurguladı.

“SON 20 YILDAKİ EN ÖNEMLİ ATILIMLARDAN BİRİ”

İngiltere Kanser Araştırmaları Vakfı Baş Klinisyeni Prof. Charles Swanton, “Sotorasib, 20 yılda akciğer kanseri tedavisindeki en heyecan verici atılımlardan biridir. İlaç, kanserin iç işleyişini ortaya çıkaran onlarca yıllık laboratuvar araştırmalarına dayanan bir kanser genini hedef alıyor. Bu ilaç, kanser tedavisi için sınırlı seçenekleri olan hastaların sağ kalma oranının arttırılmasına yardımcı olan tedaviler listemizi genişletiyor. İngiltere’deki hastaların artık bu yeni tedaviden yararlanabilecek olmaları harika bir haber” dedi.

Benzer Yazılar